Телефон
+7 902 883-50-51
Время работы
Пн-
Сб: 09.00-18.00
Адрес
Владимирское ш., 12а, пом. 1а
Главная
О нас
Услуги
Врачи
Цены
Фото работ
Блог
Контакты
Фото работ
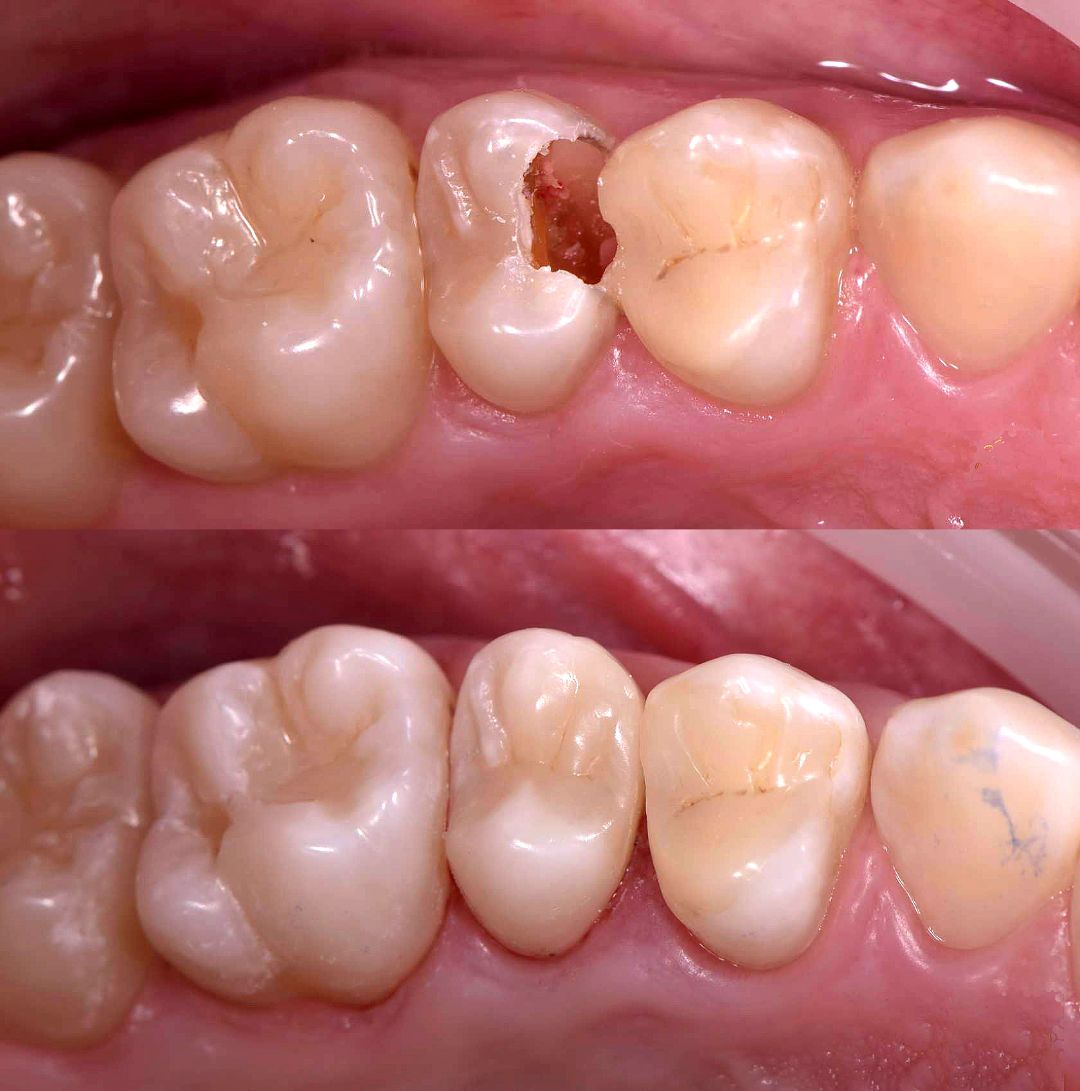
Кариес под пломбой
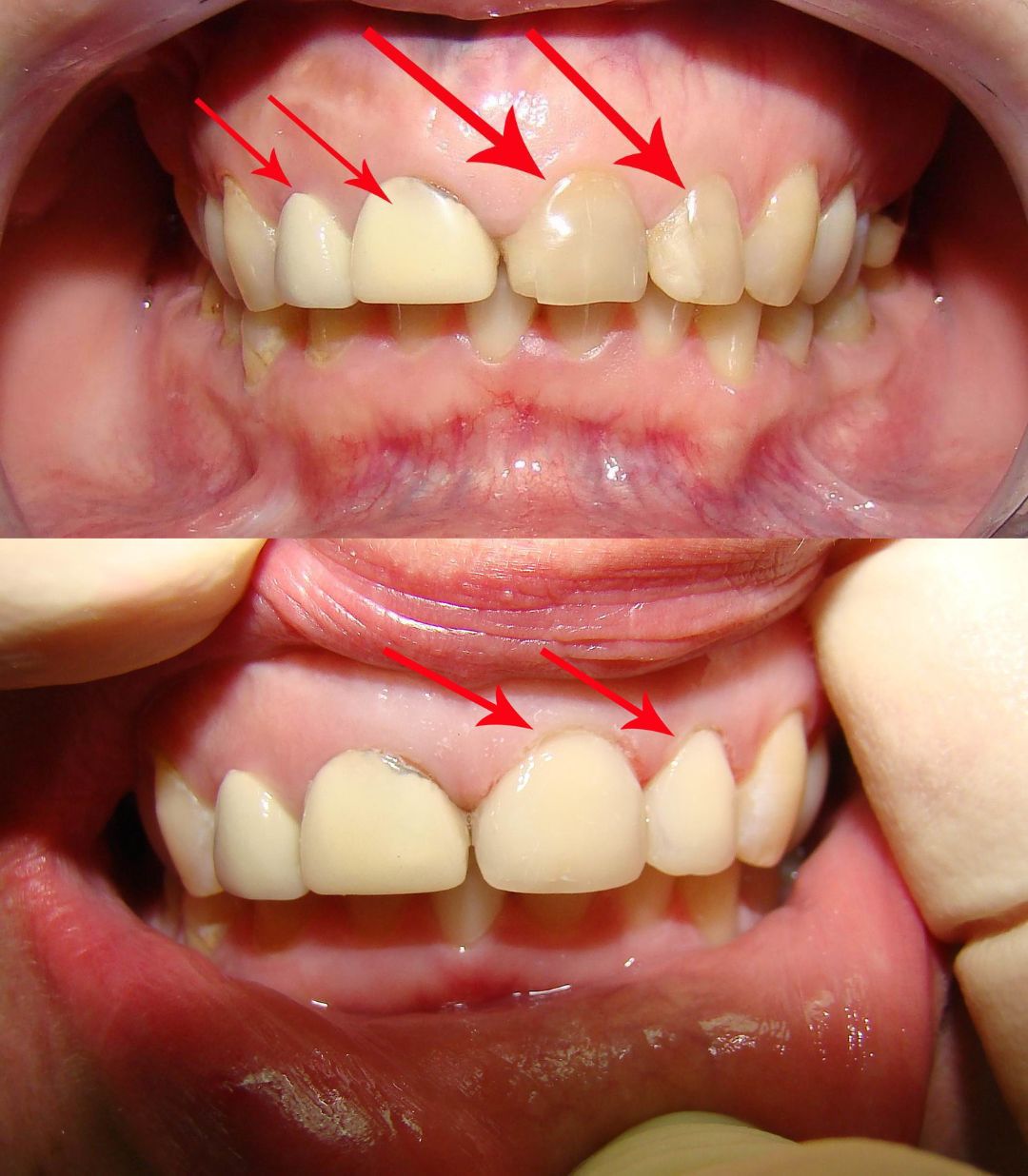
Виниры
кариес под пломбой
металлокерамика, отбеливание
установка пломбы
кариес
Наши контакты
Время работы:
Пн-Сб: 09:00 - 18:00
Л041-01134-33/00366579 от 28.08.2019
ш. Владимирское, 12а, пом. 1а, г. Муром (вход со стороны воинской части)
+7 902 883 50 51
+7 920 900 57 86
Услуги
Профилактика
Диагностика
Депрограммация патологического тонуса мыщц
Терапевтическое лечение
Ортопедическое лечение
Отбеливание зубов
Хирургия зуба
Меню
Главная
О нас
Услуги
Врачи
Цены
Фото работ
Блог
Контакты
Ссылки
Росздравнадзор по Владимирской области
Роспотребнадзор по Владимирской области